
Scientists primarily work with two kinds of stem
disorders. Gerontologists are seeking to find out if
cells from animals and humans: embryonic stem
these cells will yield any practical interventions
cells and adult stem cells. Most of the basic science that might promote healthy aging.
research discoveries on embryonic and adult stem
“We’ve made substantial progress, but there is a lot
cells come from research involving animals,
more to be learned,” according to Dr. Lakatta.
particularly mice. Embryonic stem cells are
“Finding ways to activate these cells and get them
derived from embryos. Specifically, embryonic
to where they are needed in the heart and ensuring
stem cells are derived from embryos that develop
that they develop into heart cells are significant
from eggs that have been fertilized in vitro.
challenges.”
Adult stem cells typically generate the cell types of While daunting, these and other challenges are
the tissue in which they reside. A blood-forming
motivating gerontologists to investigate many
adult stem cell in the bone marrow, for example,
new interventions that in the future could help
normally produces many types of blood cells such
keep aging hearts and arteries healthy.
as red blood cells, white blood cells, and platelets.
Until recently, it had been thought that a blood-
As we age, for instance, pressure increases in the
forming cell in the bone marrow—which is called
arteries, and this can affect the structure and func-
a hematopoietic stem cell—could not give rise to
tion of the left ventricle. In fact, a growing number the cells of a very different tissue, such as myocytes of scientists suspect that age-related changes in
in the heart. However, a number of experiments
the blood vessels may actually instigate many of
over the last several years have raised the possibil-
the transformations that occur in the older heart.
ity that stem cells from one tissue may be able to
make cell types of a completely different tissue, a
phenomenon known as plasticity.
31


Blood Vessels and Aging:
T H E R E S T O F T H E J O U R N E Y
A man is as old as his arteries.
THOMAS SYDENHAM, MD, ENGLISH PHYSICIAN, 1624-1689
Stretched end-to-end, the arteries, veins, and
This relationship is complex. In fact, studies—in
other vessels of the human circulatory system
both animals and humans—have found that
would measure about 60,000 miles. On any given
many of the factors that underlie the age-related
day, the heart pumps about 1,800 gallons of blood
changes in the arteries are also implicated in the
through this vast network. In an average lifetime,
development of cardiovascular disease. This sug-
the heart pumps approximately one million barrels
gests that there are some common links between
of blood—enough to fill more than 3 super-
these two distinct, but intertwined processes.
tankers—through the circulatory system.
Based on these and other findings, some investi-
gators theorize that aging is the driving force in
No doubt about it, the heart and arteries are
a cycle that begins with age-related changes in
remarkable. But as we age, the cardiovascular sys-
the blood vessels. These changes create an envi-
tem becomes more susceptible to diseases includ-
ronment that promotes arterial stiffening, which
ing high blood pressure and atherosclerosis.
Nearly 40 percent of all deaths among those 65
and older can be attributed to heart problems. By
age 80, men are nine times more likely to die of
chronic heart failure than they were at age 50.
Among women, this risk increases 11-fold over
the same time period.
Certainly, poor lifestyle—smoking, little or no
regular exercise, a diet laden with fat, cholesterol, and sodium—contribute to the development of
these cardiovascular disorders. But it is becoming
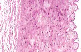
In a healthy artery, the lumen (dark center), where more apparent that like the heart, blood vessels
blood flows, is surrounded by arterial wall (red).
undergo changes with advancing age, and these
Age-related changes in the arteries, such as arterial changes, including arterial stiffening and thicken-thickening and stiffening, can make them more susing, are major risk factors for these diseases.
ceptible to cardiovascular diseases.
33
contributes to development of hypertension (high
In Search of a Connection
blood pressure). At the same time, age-related
So, what made scientists think there might be a
changes also make it easier for fatty deposits to build connection between stiffening and thickening of
up on the inside of arteries. This accumulation, part arteries and heart function? It goes back to what
of a process known as atherosclerosis, can accelerate the aging of the arteries, which, in turn, leads to fur-they have learned in the past few decades, partly
ther fatty build up and narrowing of the vessel. (See through NIA’s Baltimore Longitudinal Study of
What Happens During Atherosclerosis? page 35) Aging. By comparing younger and older volunteers, scientists have been able to put together a
In essence, aging arteries form an alliance with risk picture of what happens both in the heart and in
factors for atherosclerosis, hypertension, and other
the blood vessels as people age.
precursors of heart disease and stroke to profoundly
The heart, they have learned, adjusts in many sub-
elevate the risk of developing these conditions.
tle and interconnecting ways: It develops thicker
However, as scientists learn more about the changes
walls, and it fills with blood and pumps the blood
that occur in aging blood vessels, they are making
out in a different pattern and even by somewhat
some key discoveries. For instance, in some people
different mechanisms than when young. But it is
these changes occur at an accelerated rate; in others, also becoming clear that many of these adjust-they occur much more slowly than average. This
ments are made in response to changes in the
suggests that how well your arteries perform as you
structure of the aging blood vessels, particularly
get older depends on a series of complex interac-
the arteries. For instance, NIA studies show that
tions among age, disease, lifestyle, and genetics,
among those with the stiffest arteries, heart walls
Dr. Lakatta says. In any case, epidemiological studies are thicker.
have consistently shown that people with the greatest amount of arterial stiffening and thickening are at
To picture how these and other changes influence
the highest risk for developing stroke, heart attack, cardiovascular health, imagine an animated com-and other cardiovascular events.
puter graphic of the arteries at, say, age 25, when
the walls are still fairly smooth, slick, and compli-
But investigators also now know that several of
ant. As the heart contracts, the aortic valve opens
these changes, such as arterial stiffening and thick-
and blood is pumped into the aorta, the largest
ening, don’t occur to the same extent in all people.
artery in the body, and flows up toward the neck,
In fact, studies strongly suggest that exercise, good where the carotid artery branches off to take blood
nutrition, and emerging drug therapies can slow
to the head and brain, and then down toward the
the aging of the blood vessels, even among people
rest of the body. When the aorta receives the rush-
who are genetically at risk. These interventions
ing pulse of blood from the heart, it also receives
could delay or prevent the onset of cardiovascular
pressure spreading from the walls of the heart to its diseases in many older people.
own walls. This pressure travels along the aorta’s
“We’re moving into an era when it will be
walls in wave after wave until it reaches the walls of imperative to find out what your blood vessels
the smaller branching arteries that take the blood
are like before clinical disease sets in so that, if
to the rest of the body. There, the speed of these
necessary, appropriate measures can be taken to
pressure waves—known as pulse wave velocity—
keep your cardiovascular system as healthy as
slows, and some are sent back through the aorta
possible,” Dr. Lakatta says.
walls, becoming what are called wave reflections.
34

What Happens During Atherosclerosis?
1
2
3
Inflammation is a key factor in the development of atherosclerosis. 1 As LDL cholesterol accumulates in the arterial wall, it undergoes chemical changes and signals to endothelial cells to latch onto white blood cells circulating in the blood. These immune cells penetrate the intima and trigger an inflammatory response, devouring LDLs, to become fat-laden “foam cells” and 2 form a fatty streak, the earliest stage of atherosclerotic plaque. 3 The plaque continues to grow and forms a fibrous cap. Substances released by foam cells can eventually destabilize the cap, allowing it to rupture, causing a blood clot which can block blood flow and trigger a heart attack.
A therosclerosis (ath-er-o-skle-RO-sis) is the what happens in most heart attacks and strokes.
build-up of fatty deposits called plaque on
There are usually no symptoms, such as pain,
the inside walls of arteries. Plaque is a combina-
until one or more artery is so clogged with plaque
tion of cholesterol, other fatty materials, calcium,
that blood flow is severely reduced.
and blood components that stick to the artery
All of this takes time. In fact, atherosclerosis is a wall lining. A hard shell or scar covers the
slow, progressive condition that often starts in
plaque. As plaque builds up in an artery, the
childhood. But by age 65 it affects one out of
artery gradually narrows and can become
every two adults. Scientists at the National
clogged. As an artery becomes more and more
Heart, Lung, and Blood Institute are studying
narrowed, less blood can flow through. The artery
why and how the arteries become damaged with
may also become less elastic.
age, how plaques develops and changes over
Most plaque buildup occurs in medium to large
time, and why plaques can break open and lead
arteries and many investigators suspect that this
to blood clots. In particular, they have identified
buildup begins with changes in the endothelium,
the age-related changes in the arteries discussed
the innermost layer of the artery. These changes
in this booklet as the major catalyst for the devel-
cause white blood cells to stick to the endothelial
opment of atherosclerosis. Research is underway
cells, weakening the barrier between the endothe-
to find drugs that might delay or prevent these
lium and the other layers of the artery. This allows
age-related vascular changes and, in turn, reduce
fats, cholesterol, calcium, platelets, and cellular
the risk of atherosclerosis.
debris to accumulate in artery walls. In turn, this
There are a number of other risk factors, such as
accumulation can stimulate other arterial wall
smoking, high blood pressure, and high blood
changes that lead to the additional thickening of
cholesterol that can be modified with a diet,
the endothelium and the formation of plaques.
exercise, and other lifestyle changes. The more
Plaques have various sizes and shapes. Some
risk factors you have, the more likely it is that you plaques are unstable and can rupture or burst.
have atherosclerosis. Talk with your health care
When this happens, it causes blood clotting
provider about your risks for atherosclerosis and
inside the artery. If a blood clot totally blocks the cardiovascular disease and what you can do to
artery, it stops blood flow completely. This is
reduce them. •
35

Age and Arteries
Blood flows from the heart through the arteries (red blood vessels) and back to the heart through veins (blue blood vessels). Age brings numerous changes to the arteries including: ARTERIES
Large arteries such as the aorta stiffen
with age; no longer expand as much
BARORECEPTOR
during exercise. In the intima, the
RESPONSE
inner layer of these blood vessels,
Pressure sensitive
endothelial cell function is impaired
nerves in the aorta
with age. Angiogenesis, the ability to
help regulate
form new blood vessels, declines in
heart rate; the
small arteries.
response grows
weaker with age.
RESISTANCE TO
PERIPHERAL
PULSATILE FLOW
VASCULAR RESISTANCE
As arteries stiffen,
Farther away from the heart,
they resist the flow
resistance to the smoother
of blood, especially
flow of blood in the arteries,
the pulsatile flow
governed by arterioles,
in the large arteries
determines peripheral
nearest the heart.
vascular resistance. With
This resistance,
age, resistance increases only
called impedance,
slightly in most people who
is a key factor in
do not have hypertension. It
rising systolic blood
increases usually in people
pressures with age.
with high blood pressure,
particularly high diastolic
pressure.
36

Now, add 50 years to this picture. The arteries,
including the aorta, grow stiffer and dilate; their
Adventitia
Media
Intima
Endothelium
walls become thicker, their diameter larger. As a
result, the stiffer vessels no longer expand and
contract as much as they once did with each heart
beat. Eventually, the opposition to the flow of blood by the stiffer aorta walls increases significantly.
Along the walls of the stiffer aorta, the pressure
waves move more rapidly, and as a result, the
wave reflections occur sooner than they did
before. The timing of the wave reflection, in fact,
is one of the effects of arterial stiffness that can be measured noninvasively. Epidemiological studies
using these measures have determined that high
A sectional view of the arterial wall. On the right aortic pulse wave velocity (aPWV) is an inde-is the intima, topped by a layer of cells called the pendent predictor of arterial stiffness and cardio-endothelium. The endothelium acts as a barrier to vascular disease and death.
prevent certain substances from entering the vessel wall. In the center, the media is composed of
As the walls of the large arteries become stiffer,
smooth muscle cells and a network of fibrous pro-
diastolic blood pressure tends to drop and systolic
teins. The outermost layer, the adventitia, is com-blood pressure rises. The difference between these
posed of connective tissue.
two numbers is called pulse pressure. High pulse
In the older picture, the baroreceptor response is
pressure—greater than 60 millimeters of mercury—
blunted with age, perhaps as a result of stiffer
is associated with greater thickening and stiffening
arteries. Also, at maximum exercise, the large
of arterial walls. In turn, arterial stiffening and
arteries do not dilate as much as in the younger
thickening contribute to increased pulse pressure.
picture. In essence, this age-related stiffening
Many studies have found that elevated pulse pres-
impedes pulsing blood flow from the heart and
sure is also an important risk factor for stroke and
places an increased workload on the heart.
heart attack.
As the blood moves into the smaller arteries, the
Next, picture the effects of movement—when
hydraulics change. The pulse smoothes out, the
a person sits up, stands up, or begins to walk
flow becomes more steady. The opposition to this
or run—the heart rate increases and blood pres-
steady flow is known as peripheral vascular resist-
sure changes. A group of pressure sensitive nerves
ance or PVR; so far studies show that among men,
in the base of the carotid artery respond by
resting PVR does not change with normal aging,
sending a message to the brain. The brain in turn
but that it does rise somewhat in women. PVR is
sends a message back to the heart, which changes
actually elevated in people who have high diastolic
its rate and strength of contraction. This
blood pressure, but is also elevated, to a lesser
arterial/brain/heart message system is called the
extent, in people who have high systolic and nearly
baroreceptor response. Blood vessels also dilate to
normal diastolic blood pressure. This condition,
allow for the extra blood flow. In addition, blood
called systolic hypertension, is so common that
is turned away temporarily from those organs that
a person age 55 or older has about a 65 percent
don’t need it (for instance, the stomach), so that
chance of developing it. However, PVR is not
more can be delivered to the working muscles.
37
usually directly measured outside of a research
…Time Takes its Toll
laboratory setting because of the complexities
Aging, for instance, triggers thickening of the intima involved. Instead, physicians monitor diastolic
and stiffening of the arterial walls. This occurs, in blood pressure. If it remains steady or increases
part, because of a fierce molecular struggle.
rather than dropping in the presence of aortic
stiffening, it’s a sign of elevated PVR. (See The Healthy endothelial cells produce nitric oxide, an
Nitty Gritty of High Blood Pressure, page 39) important signaling molecule that helps keep
arteries supple. When nitric oxide enters a cell, it
Inside Every Artery…
stimulates a biochemical process that relaxes and
Scientists are still sorting out why these aging
dilates blood vessels. Nitric oxide also helps keep
changes in blood pressure and PVR occur and what
atherosclerosis in check by preventing platelets
can be done to prevent them. But one key focal point
and white blood cells from sticking to the blood
of research is the inner workings of the arterial wall.
vessel walls. The molecule also can curb the
abnormal growth of vascular muscle, which can
At first glance a large artery resembles a simple
thicken blood vessel walls.
rubber tube. But like many first impressions, this
But unhealthy endothelial cells are a different
is a bit deceiving. The arterial wall is actually com-story. In these cells, nitric oxide regulation is
prised of three intricate layers of tissue. The inner-impaired. To make nitric oxide, endothelial cells
most layer, closest to the blood, is called the intima.
need L-arginine, an amino acid that is one of the
The part of the intima nearest to the blood is a
basic building blocks of proteins, and an enzyme
single layer of specialized cells, called endothelial called nitric oxide synthase (NOS). Normally,
cells, which sits atop the sub-endothelial space
endothelial cells have plenty of L-arginine and NOS.
and a wall called the basement membrane. These
But NOS is often in short supply in aging blood
endothelial cells act as a barrier to prevent certain vessels. In addition, people who have heart disease
substances from entering the vessel wall through
or who are at high risk of developing it produce a
the intima. Endothelial cells sense mechanical
modified amino acid called asymmetric dimethy-
signals, such as blood pressure and flow, and
larginine (ADMA). ADMA blocks the production
chemical signals, such as oxygen tension, and tem-
of nitric oxide from L-arginine. Even if sufficient
perature. In reaction to these signals, they secrete
amounts of nitric oxide are produced, it can be
proteins called cytokines and chemokines as well
inactivated by oxygen free radicals, unstable mole-
as growth factors and other substances that help
cules that injure vascular tissue. In any case, without regulate the structure and function of the arteries.
adequate levels of biologically available nitric
oxide, endothelial cells in the intima can’t function The smooth muscle cells in the media, the middle
properly. In fact, some researchers consider
layer of the artery, are surrounded by a network of
decreased availability of nitric oxide in the
fibers primarily made of two proteins, collagen
endothelium as one of the earliest signs of arterial
and elastin. The elastin forms concentric rings
aging and a pathological sign of atherosclerosis
within the vessel wall. The outermost layer, the
and high blood pressure. However, much of this
aventitia, is composed of connective tissue and
complex process remains a mystery and scientists
small blood vessels that feed the walls of large
continue to explore precisely how nitric oxide
arteries. Together, these three layers of artery wall production and bioavailability affect blood vessels.
surround the lumen, the opening that blood flows
through on its journey throughout the body. With
age, each of these layers change in complex ways.
38

The Nitty Gritty of High Blood Pressure
By age 60, high blood pressure affects one in
every two Americans. Hypertension, as doc-
tors call it, was once thought to be a normal part